Conscientização e prevenção são palavras-chaves quando falamos de cuidados com a saúde. No Dia Mundial do Câncer (que acontece no dia 04 de fevereiro), a Samsung HME – braço da companhia dedicado às soluções tecnológicas de saúde e bem-estar – aproveita a oportunidade para apoiar a iniciativa global da União Internacional para o Controle do Câncer (UICC), com o apoio da Organização Mundial da Saúde (OMS), que prevê conscientizar as pessoas sobre a doença, além de influenciar na mobilização pelo controle do câncer.

“Disponibilizar os mais avançados e eficientes equipamentos aos profissionais de saúde, que podem se valer de um conjunto de sofisticadas soluções que ajudam na construção do diagnóstico em diferentes áreas, é a principal forma de apoio da Samsung às iniciativas de combate ao câncer. Ano a ano, buscamos aprimorar as funcionalidades e a usabilidade dos nossos equipamentos para que os profissionais e pacientes tenham resultados cada vez mais completos e assertivos”, ressalta Walter Brandstetter, gerente clínico da divisão de HME da Samsung Brasil.

Soluções tecnológicas para diagnóstico de câncer

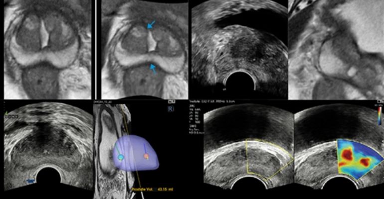
Entre os equipamentos Samsung atualmente disponíveis, destaque para o lançamento V8, um aparelho que combina excelente qualidade de imagem a um conjunto ferramentas de assistência inteligente, assim como o RS85 Prestige, outro aparelho completo no aspecto radiológico e que tem ferramentas avançadas dedicadas para avaliações complementares do fígado, das mamas e da próstata, contando para isso com dois recursos específicos: o S-Shearwave Imaging e o S-Fusion.

RS85 Prestige

O S-Shearwave Imaging permite uma avaliação não-invasiva da próstata, mamas, tireóide e possíveis lesões a partir de um elastograma, uma espécie de mapeamento em cores dos diversos níveis de rigidez do órgão em estudo. Já o S-Fusion combina imagens de ultrassom com outras modalidades diagnósticas, tais como ressonância magnética e tomografia computadorizada, e trabalha para auxiliar os médicos na realização de biópsias mais precisas na próstata e no fígado, obtidas graças à aplicação modelos matemáticos tridimensionais baseados em inteligência artificial e de sofisticados recursos de navegação e correção de distorções na imagem.

Para a saúde da mulher, a linha de aparelhos de ultrassom da Samsung conta com os mais avançados recursos para auxiliar os profissionais a serem cada vez mais assertivos no diagnóstico, com destaque para os modelos HERA W10, HERA W9 e HS40.

Entre as soluções, a Samsung oferece a ferramenta de avaliação ginecológica IOTA-ADNEX, que ajuda na classificação de tumores ovarianos e no diagnóstico por meio do protocolo do grupo IOTA. Já o recurso S-Detect é uma tecnologia avançada que faz uso de algoritmos de inteligência artificial para detecção de alterações na mama e tireóide por meio de um banco de dados, o que torna o diagnóstico muito mais ágil e eficaz, servindo como uma segunda opinião para o profissional que executa o exame. O SonoSync, por sua vez, se presta ao acompanhamento de exames por diferentes profissionais simultaneamente, mesmo que estejam em localidades diferentes, já que funciona como um sistema de streaming para transmissão de imagens médicas em alta definição e em tempo real desde a sala de exame para um dispositivo remoto, tal como computador, tablet ou smartphone com conexão à internet.

“Precisão e agilidade devem guiar todo o trabalho que envolve os cuidados com a saúde, seja na prevenção, no diagnóstico ou no tratamento do câncer. Nossos esforços estão sempre voltados para encontrar soluções que atendam às necessidades dos médicos alinhadas com o objetivo principal de salvar vidas e proporcionar o maior nível de bem-estar aos pacientes”, finaliza Walter.

Saiba mais sobre as soluções e novidades da divisão de HME na Samsung Newsroom Brasil.